前歯のインプラント
症例(2)
抜歯即時インプラントと骨移植
中切歯のインプラントを隣の歯に合わせてバランスよく審美的に行なうために、抜歯と同時にインプラント埋入をし(抜歯即時インプラント)、骨移植を行なったケースです。
#静脈内鎮静法 #骨移植を伴う抜歯即時インプラント #3Dモデル製作
治療前の状態
右上の前歯
右上の前歯が折れて、患者様ご自身が接着剤で折れた歯をくっつけましたが、何度も外れてしまう、ということで来院されました。接着剤が上からはみ出しています。
外れたクラウン
外れたクラウンは、本来あるべき位置より外側にずれた状態で接着されていました。
治療前のレントゲン
前歯2本はセラミックの差し歯の状態でした。患者様の証言によると、土台部分から脱離を起こしたようです。検査の結果、歯根が割れていることがわかりました。
手術の詳細
step1. 3Dモデル製作
歯槽骨の状態をCTデータから製作した3Dモデルを使って確認
模型では唇側(外側)の歯槽骨が骨頂部から吸収しているのがわかります。また、歯根の先端部付近まで歯槽骨は薄くなって穴が開いています。
模型では唇側(外側)の歯槽骨が骨頂部から吸収しているのがわかります。また、歯根の先端部付近まで歯槽骨は薄くなって穴が開いています。
しかし、骨補填材の維持は出来そうなので、抜歯と同時にインプラント埋入と骨補填材の設置を同時に行うことにしました。
重要ポイント
既存の骨にダメージを与えずに歯を抜歯することです。次に感染した肉芽組織を出来る限り完全に除去することと、インプラントを適正な位置に埋入すること。そして骨補填材が感染しないように完全に歯肉で封鎖することが、長期的に良い状態のインプラントを保つための大事なポイントです。
step2. 抜歯
薄くなった歯根を骨にダメージを与えず抜歯
抜歯する必要のある歯根は薄く、ペラペラの状態です。これを通常通りの抜歯方法で抜こうとすると、歯根が上部で割れてしまい、残った歯根を取り出す為にかなりの骨を削らなければなりません。
抜歯する必要のある歯根は薄く、ペラペラの状態です。これを通常通りの抜歯方法で抜こうとすると、歯根が上部で割れてしまい、残った歯根を取り出す為にかなりの骨を削らなければなりません。
それを避ける為に、あらかじめメスで歯根膜を切断し、薄い刃のピエゾサージェリーを深部に入れて歯根膜を切断します。そうすることで、力をかけずとも、歯根は割れることなく、一塊で抜けてきます。
step3. 肉芽除去
抜歯後、汚染された肉芽組織を除去
抜歯後、薄い歯槽骨を損傷しないように気をつけながら、内部の汚染された肉芽を丁寧に除去します。
抜歯後、薄い歯槽骨を損傷しないように気をつけながら、内部の汚染された肉芽を丁寧に除去します。
step4. インプラント埋入
1.インプラントを埋める穴を開ける
当初歯根があった位置より舌側(内側)にインプラントを埋めるための穴を開けます(外側に骨補填材を入れるため)。
2.インプラント埋入ポジションの確認
適正な位置にインプラントを埋め込むために、方向指示棒を挿入し、いろいろな方向から位置を確認しながらドリルの径を最終ドリルまで進めていきます。
3.インプラント埋め込み完了
インプラントの埋入が終了しました。インプラントの唇側(外側)には骨補填材が入るだけの十分なスペースが確保されています。かつ、インプラントの埋め込み位置は、後になってインプラントが露出しないように、綿密に計算されています。
step5. 埋入後
1.骨補填材を入れる
インプラントにカバースクリューを装着した後、血餅に浸した骨補填材をインプラント体と唇側歯槽骨の間に入れ、カバースクリューも骨補填材で覆います。
2.歯肉を移植し、縫合
傷口を閉じる為に、奥歯の内側(口蓋)の歯茎から切り取った歯肉を縫合します。
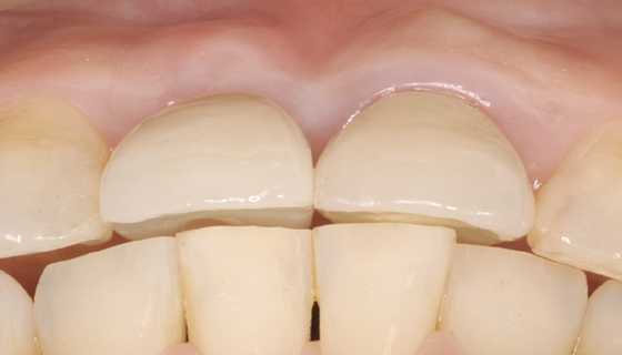
治療後
治療終了時
唇側の歯茎のライン
唇側の歯茎のラインは左右対称にすることができました。
唇側の骨の厚み
唇側の骨の厚みも反対側の天然歯と同様になりました。
| 治療期間 | 9ヶ月 |
| 費用 | 骨移植を伴う抜歯即時埋入の費用 82.5万円 (税込) |
- リスク・副作用
- 術後の出血、数日間の腫れ、疼痛、内出血によるアザが出る可能性
- 外科的治療によるリスク
- 十分なメンテナンスを行わなければ失敗やトラブルを招く可能性
- 見た目が左右対称にならない場合がある(喫煙者や糖尿病患者の場合、末梢の血行が悪く、大きなリスクとなる)