上顎崩壊
症例(3)
治療前
右上奥歯の虫歯により、ブリッジを支えられなくなり、ブリッジ全体が動揺している状態でした。
治療内容
上の歯の抜歯
残せない状態の上の歯を抜歯しました。
手術当日に仮歯装着
手術後すぐに仮歯を入れました。
10ヶ月経過
左上のインプラント1本撤去 →インプラント追加
左上のインプラントの1本が骨とくっつかなかったため、撤去し、新しいインプラントを2本埋めました。
歯茎を最小限に開いてインプラントを埋めました。
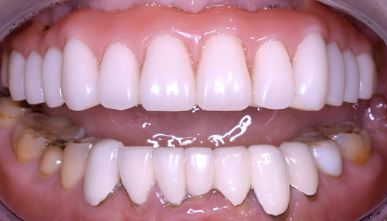
最終補綴物装着
美しい歯がしっかりと固定されました。
| 治療期間 | 約2年 |
| 費用 | 上顎 396万円 (税込) |
- リスク・副作用
- 術後の出血、数日間の腫れ、疼痛、内出血によるアザが出る可能性
- 外科的治療によるリスク
- 十分なメンテナンスを行わなければ失敗やトラブルを招く可能性
- サイナスリフトによる感染のリスク、治療期間の延長
- インプラントが骨と結合しないリスク