キービジュアル
インプラント
インプラント

上下顎崩壊
症例(5)

上顎・下顎にオールオン4
上顎・下顎にオールオン4
部分的に歯とインプラントを残して全体的にオールオン4を行なったケースです。
#上下オールオン4 #静脈内鎮静法 #入れ歯の悩み解決

治療前の状態

上の顎には、左上に歯根が残っており、その上から総入れ歯が入っていました。
右下には天然歯と連結されたインプラントが入っており、歯がない部分には部分入れ歯が入っている状態でした。

入れ歯の使用により、特に左下の顎の骨の破壊的な吸収が認められ、非常にアンバランスな状態でした。この患者様の場合、まずは歯のない上の顎からオールオン4を行いました。

治療前の状態
  • 治療前の状態
  • 治療前の状態
  • 治療前の状態
治療前の状態
治療前の状態

上顎にオールオン4

治療前の状態
治療前の状態
治療前の状態
上顎には、ノーベルバイオケア社のアクティブインプラントとスピーディーグルービーインプラントを使用。手術したその日に、外観の良い、動かない仮歯を入れることができました。
半年後、全てのインプラントが骨と結合し、経過は良好でしたが、下顎の手術は、患者様の糖尿病の悪化により3年間延期することになりました。

下顎にオールオン4

下顎にオールオン4
下顎は、歯茎の剥離量が少ないコンピュータサージカルガイドを用いた方法で手術を行いました。下顎のインプラントはストローマン社のBLTインプラントを使用しました。

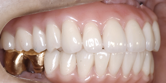
治療後

治療前の状態
  • 治療前の状態
  • 治療前の状態
  • 治療前の状態
  • 治療前の状態
  • 治療前の状態
  • 治療前の状態
  • 治療前の状態
  • 治療前の状態
治療期間 約3年半
費用 上顎 330万円 (税込)
下顎 253万円 (税込)
  • リスク・副作用
  • 術後の出血、数日間の腫れ、疼痛、内出血によるアザが出る可能性
  • 外科的治療によるリスク
  • 十分なメンテナンスを行わなければ失敗やトラブルを招く可能性

この症例特有のリスクとしては、患者さんが糖尿病患者であり、感染が起こりやすかったこと、そして既に下顎にインプラントが埋入してあったことです。下顎のインプラントは、長期の使用にかかわらず問題無く機能していたこと、レントゲン的に問題が認められないことから保存しました。

このような全体的なインプラント治療は、治療によって顎の位置や噛み合わせの高さ、噛み合わせの平面の修正が可能なのですが、今回のケースのように、部分的に歯やインプラントを残すと、それによって顎の位置や噛み合わせの高さ、噛み合わせの平面の修正が制限されるという副作用があります。
症例紹介