キービジュアル
インプラント
インプラント

上下顎崩壊
症例(3)

入れ歯が外れやすく不安定
入れ歯が外れやすく不安定
上顎に不安定な義歯を使用し、噛めない状態をオールオン4で治療したケースです。
#オールオン4 #静脈内鎮静法 #入れ歯の悩み解決

来院された経緯

この患者様は、上顎の歯が歯根だけになっている状態の上にメタルコーピング(金属のキャップ)がなされている状態で、その上に取り外し式の入れ歯を使われていました。
しかし、入れ歯が外れやすく不安定でよく噛めないということで、当院にいらっしゃいました。

治療前の状態

治療前の状態
治療前の状態
  • 治療前の状態
  • 治療前の状態
  • 治療前の状態
  • 治療前の状態
  • 治療前の状態
  • 治療前の状態
  • 治療前の状態

治療経過

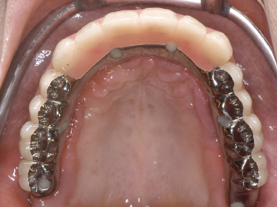
上顎にオールオン4

この患者様の場合、上顎の歯根の先端に膿が溜まっている状態でしたので、あらかじめ抜歯をしておき、6本のZIMMER-BIOMET社製インプラントでオールオン4を行いました。午前中に静脈内鎮静下で手術を行い、午後にはインプラントに仮歯を固定しました。なお手術にかかった時間は1時間程度でした。
  • 治療前の状態
  • 治療前の状態
  • 治療前の状態
  • 治療前の状態
  • 治療前の状態
  • 治療前の状態
治療前の状態
手術当日に装着された固定式仮歯
治療前の状態
下顎は咬合調整のみ
治療前の状態
上顎インプラント埋入半年後、全てのインプラントが骨と結合していましたので、下顎にもオールオン4を行いました。

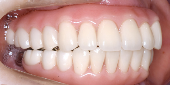
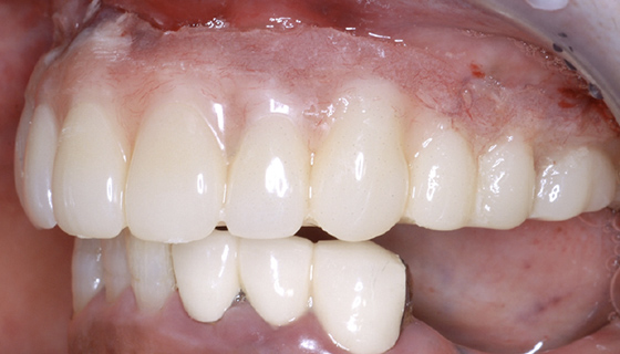
最終的に人工歯が入った状態

最終的に人工歯が入った状態
最終的に人工歯が入った状態
  • 治療前の状態
  • 治療前の状態
  • 治療前の状態
  • 治療前の状態
  • 治療前の状態
  • 治療前の状態
最終的に人工歯が入った状態
最終的に人工歯が入った状態

患者様に合わせた治療ポイント

感染予防のため、事前に抜歯

感染予防のため、事前に抜歯
上の歯の歯根に病巣があったため、インプラントへの感染を予防するために前もって抜歯を行いました。

神経麻痺を避けるために配慮

神経麻痺を避けるために配慮
下顎では、通常よりも神経が開口する穴が前方にあったため、神経麻痺を起こさないよう前歯部のインプラントを前方に埋めざるを得ず、後方の大臼歯部にインプラントを追加埋入しました。
治療期間 約1年
費用 上顎 330万円 (税込)
下顎 330万円 (税込)
  • リスク・副作用
  • 術後の出血、数日間の腫れ、疼痛、内出血によるアザが出る可能性
  • 外科的治療によるリスク
  • 十分なメンテナンスを行わなければ失敗やトラブルを招く可能性
  • 下顎の神経麻痺が起こるリスク
症例紹介