上下顎崩壊
症例(11)
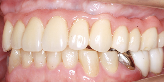
治療前
両側の下の奥歯がなくなり、下前歯が上前歯を突き上げ、上前歯が前方傾斜を起こしています。



治療内容
下奥歯のインプラント

下の奥歯にコンピュータサージカルガイドを用いて、インプラント手術を行いました。
上顎にインプラントを埋入

上顎も、コンピュータサージカルガイドを用いて、インプラントを埋め込みました。
二次手術(6ヶ月後)

6ヶ月後に、インプラントと骨がしっかりと結合したのを確認し、インプラントの頭出し手術を行い、インプラント支持の仮歯を装着しました。
最終補綴物装着
噛み合わせが良い状態で安定しました。





治療期間 | 約2年半 |
費用 | 上顎 396万円 (税込) 下顎 165万円 (税込) |
- リスク・副作用
- 術後の出血、数日間の腫れ、疼痛、内出血によるアザが出る可能性
- 外科的治療によるリスク
- 十分なメンテナンスを行わなければ失敗やトラブルを招く可能性
- 噛み合わせの高さが低いまま治療をすると、歯ぎしりや食いしばりによる悪影響が起こる可能性