キービジュアル
インプラント
インプラント

上下顎崩壊
症例(9)

上顎前歯がグラグラ
上顎前歯がグラグラ
上顎前歯がグラグラして食事ができない患者様。上の骨質が悪く、下の歯も多数欠損しているケースを、上には骨造成をしてインプラント、下にはインプラントを行って噛み合わせを回復したケースです。

治療前の状態

上の歯は支えを失いグラグラの状態です。下はほぼ前歯しか残っておらず、前歯が上の歯を突き上げるような噛み合わせになっています。
治療前の状態
  • 治療前の状態
  • 治療前の状態
  • 治療前の状態
  • 治療前の状態
  • 治療前の状態
  • 治療前の状態
治療前の状態
治療前の状態

治療内容

下顎にインプラント埋入

下顎にインプラント埋入
下顎のインプラントをコンピュータガイドサージェリーで行いました。下顎にインプラントを埋入した後は上顎にインプラントを埋入する準備を行います。

上の抜歯と仮歯装着

上の抜歯と仮歯装着
下顎に仮歯を装着する時点で上顎の噛み合わせの平面を揃える為、また上顎のインプラント埋入位置の骨の成熟を促す為、インプラントの埋入予定位置に存在する歯を先に抜歯して、上顎に全体的な仮歯を装着しておきます。

下顎のインプラント二次手術

下顎のインプラント二次手術
  • 治療前の状態
  • 治療前の状態
  • 治療前の状態
  • 治療前の状態
  • 治療前の状態
  • 治療前の状態
  • 治療前の状態
下顎のインプラントの頭出し手術(二次手術)を行い、仮歯を装着します。

上顎

上顎
上顎の骨質が悪く足りないので、骨を増やす手術であるサイナスリフトを両側に行い、前歯にインプラントを埋入します。

11ヶ月後

義歯を外した状態
義歯を外した状態
サイナスリフトを行なった部位に骨ができたのを確認し、臼歯部分にコンピュータガイドサージェリーでインプラントを追加埋入します。

下に最終的補綴物装着、
上は仮義歯に切り替え

下に最終的補綴物装着 上は仮義歯に切り替え
下に最終的補綴物装着 上は仮義歯に切り替え
  • 治療前の状態
  • 治療前の状態
  • 治療前の状態
  • 治療前の状態
  • 治療前の状態
  • 治療前の状態
  • 治療前の状態
9ヶ月後
9ヶ月後

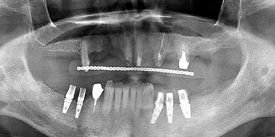
最終補綴物装着

最終補綴物装着
  • 最終補綴物装着
  • 最終補綴物装着
  • 最終補綴物装着
  • 最終補綴物装着
  • 最終補綴物装着
  • 最終補綴物装着
  • 最終補綴物装着
  • 最終補綴物装着
  • 最終補綴物装着
最終補綴物装着
最終補綴物装着
治療期間 約2年
費用 上顎 462万円 (税込)
下顎 165万円 (税込)
  • リスク・副作用
  • 術後の出血、数日間の腫れ、疼痛、内出血によるアザが出る可能性
  • 外科的治療によるリスク
  • 十分なメンテナンスを行わなければ失敗やトラブルを招く可能性
  • サイナスリフトによる感染のリスク、治療期間の延長
症例紹介