下顎崩壊
症例(1)
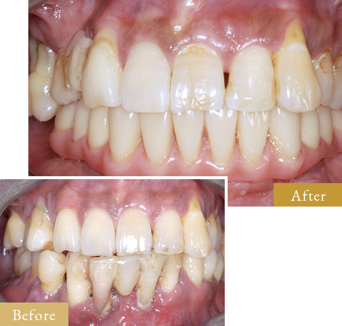
治療前
この患者さんは歯周病が進行おり、レントゲン写真で確認するとほとんど歯の周りに骨がないところが複数あります。患者さんの希望により、歯をできるだけ保存する方向で、下顎のみ抜歯をしてオールオン4を行うことにしました。



治療内容
下の歯の抜歯後インプラント


下の歯は全て残せない状態でしたので、抜歯し、インプラントを4本埋め込みました。
インプラント埋入当日に仮義歯を装着


最終補綴物装着
下顎の歯がしっかりと固定され、きちんと噛めるようになりました。



治療期間 | 約1年 |
費用 | 上顎 253万円 (税込) |
- リスク・副作用
- 術後の出血、数日間の腫れ、疼痛、内出血によるアザが出る可能性
- 外科的治療によるリスク
- 十分なメンテナンスを行わなければ失敗やトラブルを招く可能性
- サイナスリフトによる感染のリスク、治療期間の延長
- インプラントが骨と結合しないリスク
- 上顎の残した歯があまり持たないリスク