上顎崩壊
症例(1)
治療前
患者様は、他院で上顎の骨を増やすサイナスリフト手術を受けましたが、骨ができず、当院にて再度サイナスリフトを行いました。その後、以前から存在していたインプラントと連結しました。



右側サイナスリフト
術前の状態

破損したシュナイダー膜を封鎖
歯茎を開き、上顎洞の粘膜であるシュナイダー膜を剥がす際にシュナイダー膜が破損したため、封鎖しました。出血量が少なく、血液供給が悪いことが予想され、骨があまりできない確率が高いと考えられます。
手術当日に仮歯装着
人工骨を血餅と混和したものを上顎洞の底に貼り付けます。
左側サイナスリフト
術前の状態

粘膜を剥離
粘膜を剥離すると、以前にサイナスリフトを行われた跡があり、人工骨の材料が残った状態で、周囲に骨は出来ていませんでした。
人工骨を入れる
古い人工骨素材を取り除き、新たに人工骨を入れ直します。
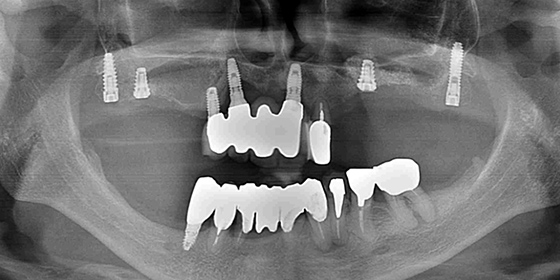
インプラント埋入

右側の上顎洞は感染を起こし、あまり骨ができませんでしたが、骨のある場所をCTで探して、コンピュータサージカルガイドを用いて、ピンポイントでベストな位置にインプラントを埋め込みました。
半年後

すべてのインプラントが骨と結合しているのを確認しました。前医が治療した上顎前歯のブリッジは取り外し、今回埋めたインプラントと連結することにしました。
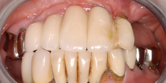
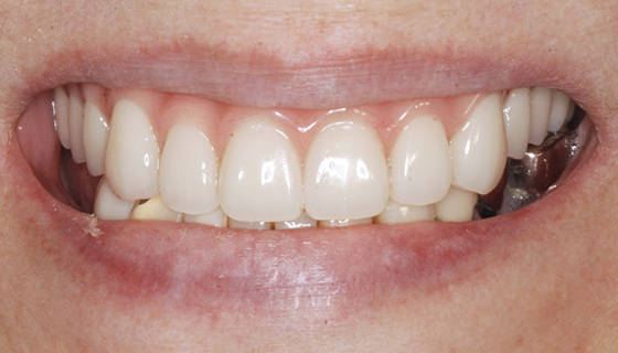
最終補綴物装着



治療期間 | 約2年 |
費用 | 上顎 462万円 (税込) |
- リスク・副作用
- 術後の出血、数日間の腫れ、疼痛、内出血によるアザが出る可能性
- 外科的治療によるリスク
- 十分なメンテナンスを行わなければ失敗やトラブルを招く可能性
- サイナスリフトによる感染のリスク、治療期間の延長
- インプラントが骨と結合しないリスク