キービジュアル
インプラント
インプラント

上顎崩壊
症例(2)

下顎のみオールオン4
噛み合わせが崩壊
上顎の入れ歯の調子が悪く、サイナスリフト後、固定式の装置を入れたケースです。
#サイナスリフト #静脈内鎮静法 #入れ歯の悩み解決

治療前

上顎の歯がほとんどなく、噛み合わせが崩壊しています。残っている上の歯はグラグラで、義歯が安定しなくなり、食事を満足に食べることができなくなりました。
治療前
  • 治療前
  • 治療前
  • 治療前
  • 治療前
  • 治療前
  • 治療前

治療前
治療前

インプラント埋め込みとサイナスリフト

抜歯後インプラント埋入

抜歯後インプラント埋入
上の歯を抜歯した後、コンピューターサージカルガイドを用いてインプラント埋入を行います。

サイナスリフト

インプラントを埋めた直後に、上顎の骨を増やすサイナスリフトを行います。

縫合

縫合

手術当日に仮歯装着

この時点では奥歯を噛み合わせないことが重要です。
  • 治療前
  • 治療前
  • 治療前
治療前

7ヶ月経過後

サイナスリフトをした場所にインプラント埋入

サイナスリフトをした場所に インプラント埋入
サイナスリフトをした場所に インプラント埋入
サイナスリフトをした場所の骨がしっかりとできたのを確認し、インプラントを埋め込みました。コンピュータガイドにて、無切開・無剥離で行いました。

埋入後、7ヶ月経過

埋入後、7ヶ月経過
埋入後、7ヶ月経過
埋入後、7ヶ月経過

仮歯装着

全てのインプラントを連結し、奥歯まで噛ませる仮歯を入れます。
  • 仮歯装着
  • 仮歯装着
  • 仮歯装着
  • 仮歯装着
  • 仮歯装着
仮歯装着
仮歯装着

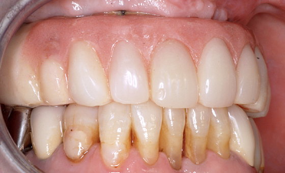
最終補綴物装着

見た目も美しく、しっかりと噛めるようになりました。
  • 最終補綴物装着
  • 最終補綴物装着
  • 最終補綴物装着
  • 最終補綴物装着
  • 最終補綴物装着
  • 最終補綴物装着
仮歯装着
最終補綴物装着
治療期間 約2年半
費用 上顎 462万円 (税込)
  • リスク・副作用
  • 術後の出血、数日間の腫れ、疼痛、内出血によるアザが出る可能性
  • 外科的治療によるリスク
  • 十分なメンテナンスを行わなければ失敗やトラブルを招く可能性
  • サイナスリフトによる感染のリスク、治療期間の延長
  • インプラントが骨と結合しないリスク
症例紹介